Stabilization Bar On Mua With Guide Arch

Full Arch Immediate Load Case With Osteoplasty
Dr. FABIO MANUEL FILANNINO
Country: Italy
Gallery
Stabilization Bar On Mua With Guide Arch 3
Stabilization Bar On Mua With Guide Arch 2
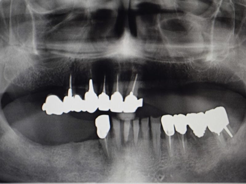
Stabilization Bar On Mua With Guide Arch
Patient's Data:
  • Age: 65
  • Sex: Male
  • Smoker: Yes
  • Pathologies: None
  • Hygenic state: Very bad
  • Alergies: None

The use of an arch to help praparing the ostheotomy in terms of inclination and positioning can be a great option to easily define the correct positionin for an all on four concept. This patient came with the request of stabilizing his own prosthesis so the treatment plan included the insertion of 4 implants on which we will use the suitable straight and angulated MUA to stabilize a retentive bar to retain a duplicate of the pre-existing prosthesis.
During the surgical session the preparation of the implant sites was made with the help of the guide arch that have to be inserted in the medial area and gives the indication on the correct positioning of implants for an all on four or all on six concept prosthesis. To minimize the tissue trauma we inseted the implants with a flapless surgery and with the use of stops to determine precisely also the lenght of the preparation. Right after the surgery the patient was left with healing screws on top of the implant and with his previous denture which we hollowed internally to avoid trauma on the implants. After 5 months the patient came back we took an impression an made a duplicate of the prosthesis which we used to build the bar to fix on top of MUAs and an internal framework and the retentive caps.
The guide allows to easily determine the inclination of the preparating tools but this also helps also the choice of the angled MUA. During the second session we simpli inserted the Multi unit abutments and fixed the prosthetic bar with the proper screws before trying and checking the occlusion of the definitive prosthesis.

IMPLANTES Y COMPONENTES PROTÉSICOS
INSTRUMENTAL Y KITS QUIRÚRGICOS
MATERIALES DE REGENERACIÓN
CENTRO DE FRESADO
PHYSIODISPENSER 3000
IMPLANTES IUXTA

¡COMPARTE TUS CASOS CLÍNICOS DE IMPLANTOLOGÍA CON B&B DENTAL!

RELLENA EL FORMULARIO AHORA
This site is registered on wpml.org as a development site. Switch to a production site key to remove this banner.