Implant Placement In Aesthetic Area With GBR

Dr. RAMZI KAZZAZI
Dr. RAMZI KAZZAZI
Country: Iraq
Gallery
Implant Placement In Aesthetic Area With GBR
Patient's Data:
  • Age: 19
  • Sex: Female
  • Smoker: No
  • Pathologies: None
  • Hygenic state: Fair
  • Alergies: None
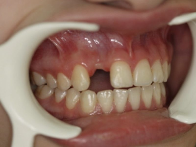
The patient came to our attention with the specific request to restore the aesthetic of her smile ruined by the missing of element 12. Therefore to perform the replacement of the anterior tooth we had to take in great consideration the highly aesthetical area and her very young age. We evaluater 3 treatment options: provide the patient with a partial denture, but due to her very young age did not seem the best way to pursue or prepare a fixed bridge,(3 units ,cantilever and/or Maryland) or insert an implant to provide her a comfortable solution to restore her self-confidence.
As the patient’s preference has been the insertion of an implant we plannes a two-stage delayed loading protocol treatment plan that involved guided bone regeneration (GBR) bone graft plus restorable membrane and the insertion of a Dura-vit B&B tapered dental implant-Ø 3.5, L 14mm.
We performed the surgery taking intraoral x-rays of the drills to assest the correct directioning of the instruments. After implant insertion we added bone grafting material which we covered with a collagen membrane fixed with absorbable suture thread.
IMPLANTES Y COMPONENTES PROTÉSICOS
INSTRUMENTAL Y KITS QUIRÚRGICOS
MATERIALES DE REGENERACIÓN
CENTRO DE FRESADO
PHYSIODISPENSER 3000
IMPLANTES IUXTA

¡COMPARTE TUS CASOS CLÍNICOS DE IMPLANTOLOGÍA CON B&B DENTAL!

RELLENA EL FORMULARIO AHORA
This site is registered on wpml.org as a development site. Switch to a production site key to remove this banner.