Delayed Implant Insertion After Socket Preservation With Collagen

Dr. FABIO MANUEL FILANNINO
Country: Italy
Gallery



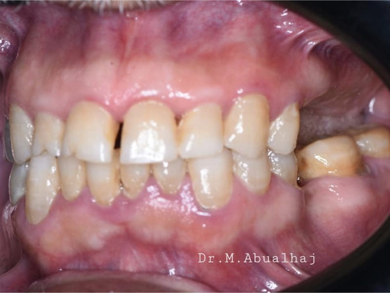
Patient's Data:
- Age: 51
- Sex: Female
- Smoker: No
- Pathologies: None
- Hygenic state: Good
- Alergies: None
In this case we used the implant cap to model the peek healing screw and obtain a different gingival profile more suitable for the implant site.