Peek Abutment Restoration

Dr. LINO VINICIUS
Country: Portugal
Gallery



Patient's Data:
- Age: 39
- Sex: Female
- Smoker: No
- Pathologies: None
- Hygenic state: Good
- Alergies: None
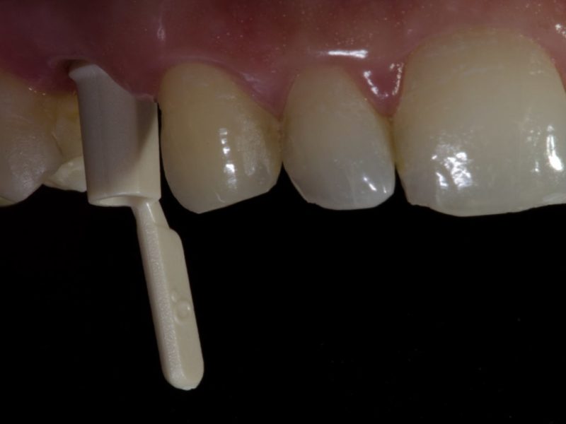
This youg lady came to our office with a compromised tooth, we inserted an implant from the EV line and we waited for 4 months for healing. During healing we inserted the PEEK healing screw to help soft tissue remodeling. After healing we inserted a 0° peek abutment that we customized and prepared as a regular anatomical abutment which we fixed with the aim of the prosthetic screw. We performed an x-ray to check the correct connection between abutment and implant and closed the screw channel with some composite. Then we took a digital impression that helped us create a Zirconia aesthetic restoration that was then cemented on top of the abutment.