Guided Surgery Immediate Load With Use Of Previous Prosthesis

Dr. FRANCESCO LERARIO
Country: Italy
Gallery



Patient's Data:
- Age: 44
- Sex: Male
- Smoker: Yes
- Pathologies: None
- Hygenic state: Bad
- Alergies: None
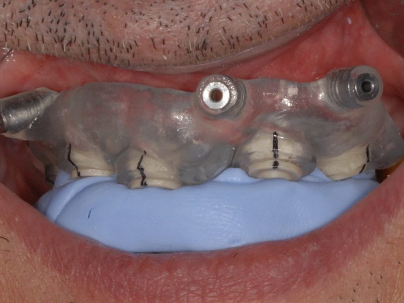
Immediate load rehabilitation on 5 implants with resin prosthesis. The patient came to our attention presentng an edentulous upper arch. He had an inappropriate total removable prosthesis that made him demotivated. Several implantologists had proposed invasive regenerative surgery to him that did not convince him.
We then took a dentascan CT of the maxillary arch we planned a computer software guided surgery with imnediate rehabilitation on 5 EV 4×12 B&B Dental implants direclty subsequent to the extraction of a previous implant inserted 20 years earlier in 2.2 area.
Therefore treatment was performed. With surgical template, insertion of the aforementioned implants in Flapless mode and application of temporary prosthesis in resin of 12 dental elements. A final composite prosthesis was applied 4 months after the insertion of the implants. Follow up of the patient 7 years.