Exodontia, Implant, Tissue Graft And Immediate Load

Dr. ÁLVARO RODRÍGUEZ MARTÍN
Country: Italy
Gallery



Patient's Data:
- Age: 38
- Sex: Female
- Smoker: No
- Pathologies: None
- Hygenic state: Fair
- Alergies: None
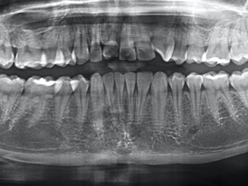
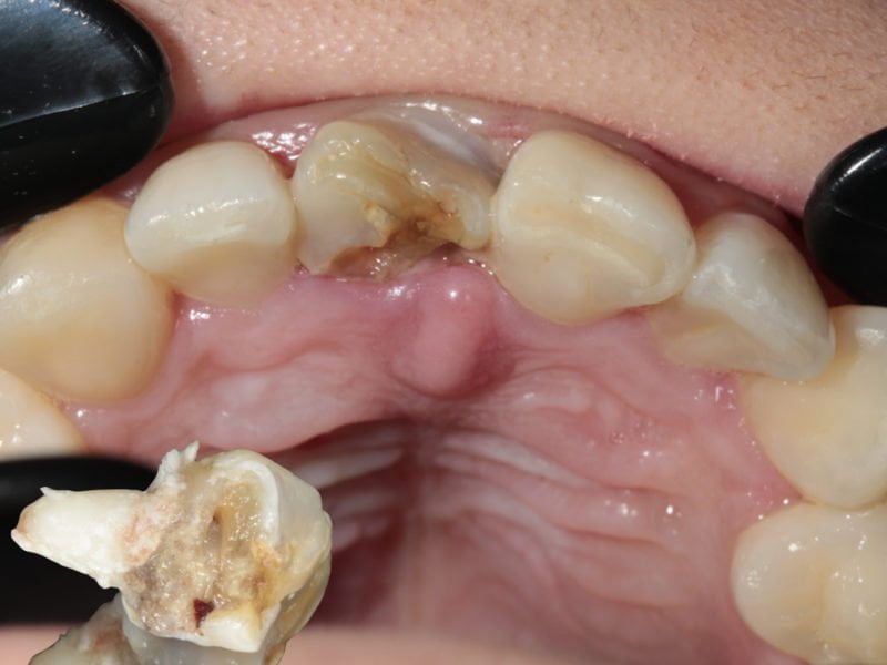
The patient came to our attention with a periodontal problem concerning element 1.1. After a radiographic check-up we confirmed a treatment plan that required the extraction of the tooth, the removal of the below cyst and the direct insertion of a slim implant in the same site. In order to maintain the soft tissues natural appearance we decided to perform some bone grafting. As the implant is in an aesthetically important position we inserted in a provisional tooth in same session.