Difficult Maxilla Implant Insertion With Mua Supported Prosthesis

Dr. SHU LING
Country: China
Gallery



Patient's Data:
- Age: 59
- Sex: Male
- Smoker: Yes
- Pathologies: None
- Hygenic state: Bad
- Alergies: None
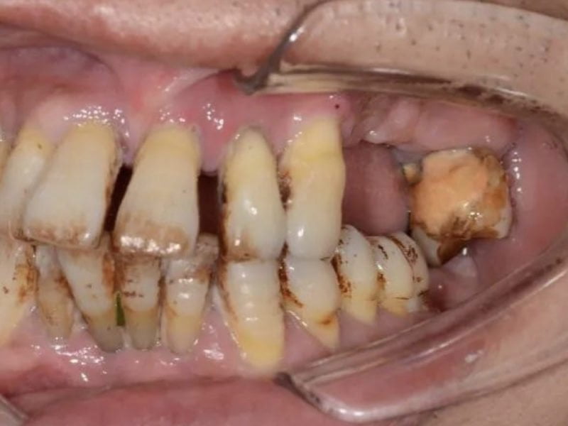
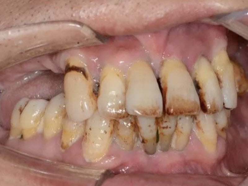
The patient has severe periodontitis in the upper jaw, which has no clinical preservation value. Refer to the patient’s CBCT data to design treatment plans which will include the insertion of six B&B implants. Immediate implant loading restoration to achieve good restoration results. The main complaint of the patient: multiple teeth in the whole mouth were loosened and lost for more than a few years, which affected chewing. The intramural examination reported a full mouth severe periodontitis, alveolar bone is sever absorption, and attachment is lost with a poor state of oral hygiene. Therefore we performed a CBCT scan which upon examination highlighted scarce bone heights specially corresponding to the sinus areas, the remaining dental bone is absorbed to 1/3 of the root tip and a noticeable low density shadow around the apex. The surgery has been performed with precise drilling and positioning of the implants with step by step preparation of the osteotomies, parallel pins were used to confirm the direction, implant probes to check the integrity of the bone wall and the depth of the holes.