All On Four On Mua With Guided Surgery

Dr. ANGELO BANZI
Country: Italy
Gallery



Patient's Data:
- Age: 60
- Sex: Female
- Smoker: No
- Pathologies: None
- Hygenic state: Fair
- Alergies: None
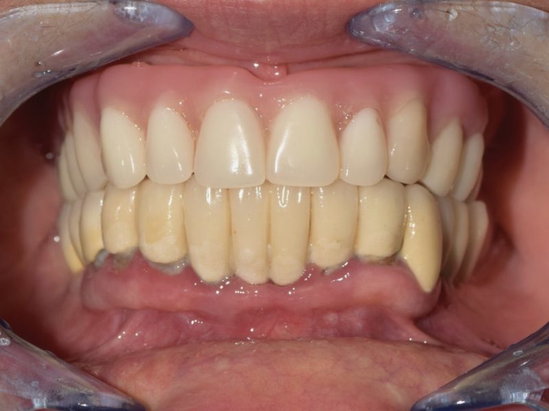
All on four can be a good solution to stabilize a full upper arch. Performing guided surgery to plan an all on four treatment plan makes it easier from a surgical point of view as the anatomical conformation of sinuses can be tricky. The acceptance of the patient of such plan is higher and the discomfort is minimized. In this case the difficulty was given from the anatomical conformation that did not allow the insertion of fixation of vestibular pins, we therefore used the implants sleeves to insert two frontal pins and keep the template in place while fixing the two distal implants. With the aid of the rear mouters in place the template has been kept in place to allow the insertion of the frontal implants. At the end of the surgical stage the insertion of MUA and the suitable abutments have allowed the immediate readaptation and insertion of the previous remoavable prosthesis as immediate load restoration.