Soft And Hard Tissues Management In A Late Implant In The Aesthetic Area

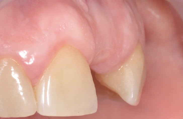
Dr. IOANA DATCU Country: Italy Gallery Patient’s Data: Age: 50 Sex: Female Smoker: No Pathologies: None Hygenic state: Good Alergies: None The radiographic examination (intraoral X-ray and Cone Beam Tc scan) shows vertical and horizontal bone defects due to alveolar remodeling following tooth extraction made many years earlier. It was decided to plan an implant […]